Menu
Home
Profilo
Invisalign
Sistema Damon
Tecnica segmentata
Prima visita
Casi
Contatti
Casi e interventi Dott. Filippo D'Agostino
Home
Casi
Casi
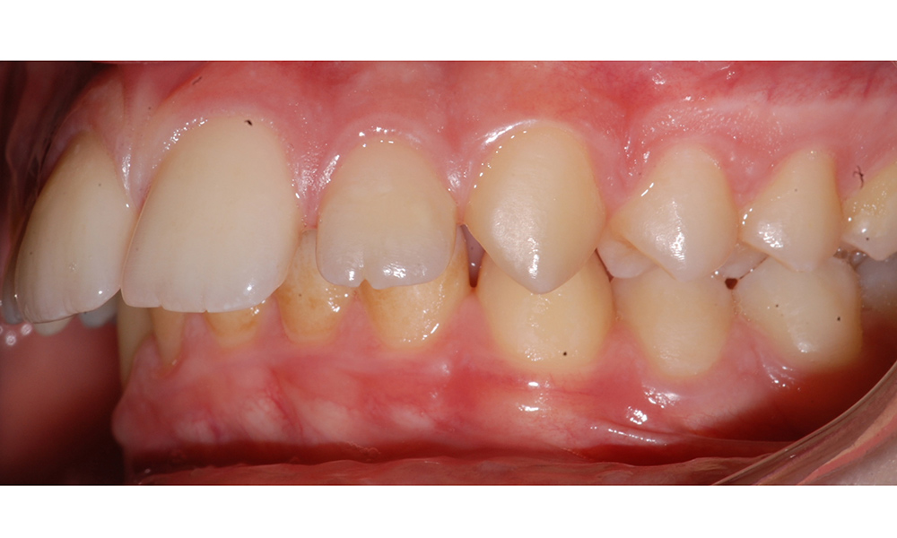
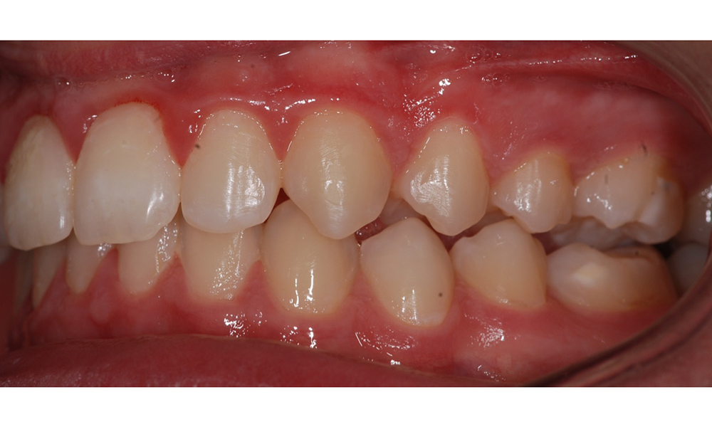
Caso 1 grave affollamento, Tecnica Damon senza estrazioni
Prima (clicca per vedere tutte le immagini)
Dopo (clicca per vedere tutte le immagini)
Caso 2. Tecnica Damon senza estrazioni. Affollamento in classe 3
Prima (clicca per vedere tutte le immagini)
Dopo (clicca per vedere tutte le immagini)
Caso 3. Grave contrazione palatale, sistema Damon
Prima (clicca per vedere tutte le immagini)
Dopo (clicca per vedere tutte le immagini)
Caso 4. Affollamento grave, Damon sistem senza estrazioni
Prima (clicca per vedere tutte le immagini)
Dopo (clicca per vedere tutte le immagini)
Caso 5. Grave 2 classe
Prima (clicca per vedere tutte le immagini)
Dopo (clicca per vedere tutte le immagini)
Caso 6 classe 3, canino incluso
Prima (clicca per vedere tutte le immagini)
Dopo (clicca per vedere tutte le immagini)
Caso 7. Canino ectopico, affollamento risolto senza estrazioni, tecnica Damon
Prima (clicca per vedere tutte le immagini)
Dopo (clicca per vedere tutte le immagini)
Caso 8. Canini ectopici
Prima (clicca per vedere tutte le immagini)
Dopo (clicca per vedere tutte le immagini)
Caso 9. 2 classe morso profondo
Prima (clicca per vedere tutte le immagini)
Dopo (clicca per vedere tutte le immagini)
Caso 10 classe 2, morso profondo
Prima (clicca per vedere tutte le immagini)
Dopo (clicca per vedere tutte le immagini)
Caso 11. affollamento classe 2
Prima (clicca per vedere tutte le immagini)
Dopo (clicca per vedere tutte le immagini)
Caso 12. Grave classe 2, estrazioni premolari superiori
Prima (clicca per vedere tutte le immagini)
Dopo (clicca per vedere tutte le immagini)
Caso 13. Canini super inclusi
Prima (clicca per vedere tutte le immagini)
Dopo (clicca per vedere tutte le immagini)
Caso 14. Canini inclusi in adulto
Prima (clicca per vedere tutte le immagini)
Dopo (clicca per vedere tutte le immagini)
Caso 15. Agenesia incisivi laterali sup.
Prima (clicca per vedere tutte le immagini)
Dopo (clicca per vedere tutte le immagini)
Caso 16. Grave classe 2. Damon system
Prima (clicca per vedere tutte le immagini)
Dopo (clicca per vedere tutte le immagini)
Caso 17. Morso aperto
Prima (clicca per vedere tutte le immagini)
Dopo (clicca per vedere tutte le immagini)
Caso 18. Chirurgia classe 3
Prima (clicca per vedere tutte le immagini)
Dopo (clicca per vedere tutte le immagini)
Caso 19. Canini inclusi, protrusione incisivi superiori
Prima (clicca per vedere tutte le immagini)
Dopo (clicca per vedere tutte le immagini)
Caso 20. Estrazioni in classe 3
Prima (clicca per vedere tutte le immagini)
Dopo (clicca per vedere tutte le immagini)
Caso 21. Brackets ceramica, allineamento incisivi
Prima (clicca per vedere tutte le immagini)
Dopo (clicca per vedere tutte le immagini)
Caso 22. Classe 3 maschera delaire
Prima (clicca per vedere tutte le immagini)
Dopo (clicca per vedere tutte le immagini)
Caso 23. Canini ectopici, morso profondo
Prima (clicca per vedere tutte le immagini)
Dopo (clicca per vedere tutte le immagini)
Caso 24. classe 3 chirurgica
Prima (clicca per vedere tutte le immagini)
Dopo (clicca per vedere tutte le immagini)
×
Le nostre tecniche
Sistema Damon
Invisalign
Tecnica segmentata
Casi
Collegamenti
Profilo
Richiesta appuntamento
Contatti
Mappa